Zum Hauptinhalt springen Zum Footer springen Zum Ende der Navigation springen Zum Beginn der Navigation springen

DigiPath-Krebskampf

Krebsbekämpfung mit digitaler Pathologie

Gesundheit und Medizin sind grundlegende Bausteine einer nachhaltigen Gesellschaft. Krebs ist eine der größten Herausforderungen für Gesundheitsexperten weltweit und gehört zu den häufigsten Todesursachen. Um Krebs besser zu verstehen und neue Behandlungen zu entwickeln, ist ein interdisziplinärer Ansatz erforderlich. Die digitale Pathologie, an der

Schnittstelle zwischen Medizin und Technologie, nutzt künstliche Intelligenz (KI) und maschinelles Lernen, um große Mengen medizinischer Daten schnell und präzise zu analysieren. Der Einsatz von Deep-Learning-Modellen in der digitalen Pathologie hat das Potenzial, die Zeit- und Arbeitsbelastung von Ärztinnen und Ärzten zu reduzieren, potenzielle Fehler zu minimieren und die Genauigkeit der Krebsvorsorge zu verbessern.

Das Projekt „DigiPath-Krebskampf“ möchte Schülerinnen und Schüler der 8. bis 11. Schulstufe von zwei Grazer Schulen in die Welt der digitalen Pathologie einführen und ihnen ein tieferes Verständnis für Krebs vermitteln. Das Projekt ist Teil der EU-Mission „Cancer“ und hat das Ziel, junge Menschen, Lehrkräfte und die Öffentlichkeit über Krebs aufzuklären und für das Thema zu sensibilisieren. Die Schülerinnen und Schüler werden aktiv an der Entwicklung und Erprobung von Algorithmen zur Krebsdiagnose beteiligt sein, um zu zeigen, wie KI auf Basis ihrer Eingaben funktioniert. Das übergeordnete Ziel des Projekts ist es, Begeisterung für die Krebsforschung zu wecken, technologische Kompetenzen zu vermitteln und die Schülerinnen und Schüler zu befähigen, mit digitalen Pathologie-Werkzeugen aktiv, aber kritisch zum Kampf gegen Krebs beizutragen.

Erfahrene Mentorinnen und Mentoren aus den Bereichen Pathologie, BioBanking und Informatik werden die Schülerinnen und Schüler begleiten. In Workshops, praktischen Übungen und gemeinsamen Aktivitäten sowie durch eine Exkursion zur Medizinischen Universität Graz werden sie den Umgang mit digitalen Pathologie-Tools und die Analyse verschiedener Datensätze lernen. Darüber hinaus fördert das Projekt bei den Schülerinnen und Schülern, deren Schulkollegen, Eltern, Lehrkräften und der Gesellschaft insgesamt das Verständnis für die Bedeutung von Krebsvorsorge und einer patientenorientierten Versorgung.

 

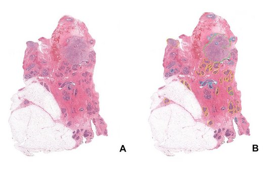
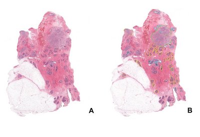
Krebszellen unter dem Mikroskop
© Iva Brcic

Forschungsprojekt
2. Ausschreibung


Projektleiterin
Uni. FÄ PD Dr.med.univ. et scient.med. Iva Brcic
Medizinische Universität Graz
Laufzeit
01.12.2024 – 30.11.2026
Zurück zur Übersicht
YouTube ist deaktiviert

Für die Verwendung von YouTube Videos benötigen wir Ihre Zustimmung. Weitere Informationen finden Sie in unseren Datenschutzbestimmungen.

Vimeo ist deaktiviert

Für die Verwendung von Vimeo Videos benötigen wir Ihre Zustimmung. Weitere Informationen finden Sie in unseren Datenschutzbestimmungen.

OpenStreetMap ist deaktiviert

Für die Verwendung von OpenStreetMap benötigen wir Ihre Zustimmung. Weitere Informationen finden Sie in unseren Datenschutzbestimmungen.

Issuu ist deaktiviert

Für die Verwendung von Issuu benötigen wir Ihre Zustimmung. Weitere Informationen finden Sie in unseren Datenschutzbestimmungen.

ArcGIS ist deaktiviert

Für die Verwendung von ArcGIS benötigen wir Ihre Zustimmung. Weitere Informationen finden Sie in unseren Datenschutzbestimmungen.

PeerTube ist deaktiviert

Für die Verwendung von PeerTube benötigen wir Ihre Zustimmung. Weitere Informationen finden Sie in unseren Datenschutzbestimmungen.